UltraDissection Group

cropped-favicon-applogo.png
search-icon
Generic selectors
Exact matches only
Search in title
Search in content
Post Type Selectors

Histología de los tejidos en relación a la ecografía

Dr. Mario Fajardo Pérez.

Dra. Fiorella Castegnaro.

   1. Nervio

En la anatomía de un nervio sano tenemos diferentes fascículos que en su interior contienen diferentes fibras nerviosas. Estas fibras están rodeadas por un endoneuro y delimitadas o contenidas como fascículos por un perineuro.  También encontramos el epineuro y este puede ser externo o interno, el interno rodea y separa claramente cada fascículo, mientras que el externo recubre y une en conjunto los diferentes fascículos. Los nervios periféricos están irrigados por un sistema anastomótico de vasos epineurales y endoneurales, los cuales se conectan por medio de vasos comunicantes.

Figura 1.1 Histología Neural. Fibras nerviosas cortadas transversalmente de un nervio periférico de ser humano.

El fascículo neural consta de tejido conjuntivo, vasos y conductos linfáticos, lo cual hace que su perineuro o recubierta sea lo suficientemente gruesa como para reflejar el haz de ultrasonido y así la aparición de líneas hiperecogénicas.  El epineuro se visualiza de igual modo como líneas hiperecogénicas prominentes, esto al ser grueso y recubrir todas las estructuras.

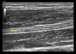
Al utilizar una proyección longitudinal durante la ecografía se muestran varias líneas paralelas hipoecogénicas que corresponden con los fascículos neuronales que discurren longitudinalmente dentro del nervio, separadas por bandas hiperecogénicas.  Estas bandas hiperecogénicas interfasciculares son el epineuro interno, y las bandas hiperecogénicas que definen los limites externos del nervio es el epineuro externo.

Imagen ecográfica 1.1 Eje longitudinal del nervio mediano en antebrazo.

En la proyección transversal se muestra un patrón reticular o en panal de abeja, compuesto por puntos hipoecogénicos incrustados en un fondo hiperecogénico; en el que las estructuras hipoecogénicas corresponden a los fascículos y el fondo hiperecogénico corresponde al epineuro interfascicular o interno. 

Imagen ecográfica 1.2 Eje transversal del nervio mediano en antebrazo.

Las aéreas hipoecogénicas de los nervios tienen correlación histopatológica con los fascículos, mientas que el fondo hiperecogénico con el perineuro. Sin embargo no siempre es fácil delimitar estas estructuras a menos de que los fascículos sean perpendiculares al haz de ultrasonido, y aun así se infraestiman.

A diferencia de otras estructuras del sistema musculoesquelético, los nervios no muestran propiedades anisotrópicas. Por lo tanto no es necesaria una orientación determinada de la sonda durante la ecografía para visualizarlos. Ósea tienen menor variabilidad de la ecogenicidad al modificar el ángulo de isonación.

   2. Tendón

El endotendineo y el peritendineo están compuestos de tejido conjuntivo laxo, fibras elásticas y pequeños vasos, estos envuelven los haces de colágeno  y están en continuidad con el epitendineo. El epitendineo es una capa de tejido conjuntivo denso unida de forma estrecha a la superficie externa del tendón.
Figura 2.1 Histología del tendón. Tejido conjuntivo de un disco intervertebral de un ser humano.
Figura 2.2 Histología del tendón. Tejido conjuntivo fibrilar rígido del brazo de un ser humano.

Se observa en la ecografía una red de líneas hiperecóicas finas y paralelas separadas por líneas hiperecóicas, ósea un patrón fibrilar. Los ecos lineales visibles dentro de los tendones dependen de las interfaces acústicas en los límites de los haces de colágeno y los tabiques del endotendineo. Mientras que el epitendineo suele verse como una línea reflexiva que rodea el tendón.

Imagen ecográfica 2.1 Eje longitudinal y transversal de los tendones del músculo flexor de los dedos.

Los tendones poseen gran anisotropía. Ósea los tendones tienen mayor  variabilidad de la ecogenicidad al modificar el ángulo de isonación. Además en comparación con los nervios el tendón posee menos ecos paralelos delgados y densamente empaquetados, es mas circular que oval  y mas móvil durante maniobras de flexión y extensión.

   3. Músculo

El musculo se compone de fibras musculares individuales y cada fibra esta rodeada por un tejido fibroso fino llamado el endomisio. Un grupo de fibras musculares constituyen un fascículo muscular, y están rodeadas por un perimisio, el cual contiene pequeños vasos sanguíneos y nerviosos.

Figura 3.1 Histología musculatura esquelética. Sección longitudinal (izquierda) y transversal (derecha).

Varios fascículos musculares están cubiertos por un tejido fibroso, grueso y resistente denominado epimisio. El epimisio continúa en el origen y en la inserción del musculo para formar los tendones y las estructuras tendinosas laminares denominadas aponeurosis.

El tejido muscular normal presenta una ecogenicidad baja. Sin embargo, la organización de los fascículos musculares determina la macroarquitectura del musculo, la cual es la forma  y dirección en que discurren los fascículos.

En el plano longitudinal (paralelo al musculo) la arquitectura de los fascículos se vuelve visible y las reflexiones del tejido conjuntivo del perimisio producen estructuras lineales hiperecogénicas. Además los límites del musculo son claramente visibles ya que el epimisio que rodea el musculo es una estructura muy reflectiva o hiperecóica. Surgiendo del epimisio pueden verse grandes tabiques hiperecogénicos también llamados aponeurosis que van dirigidos dentro del vientre muscular.

Imagen ecográfica 3.1 Eje longitudinal del músculo braquioradial.

En el plano transversal (perpendicular al musculo) el tejido muscular muestra un aspecto moteado debido a las reflexiones del tejido conjuntivo del perimisio, el cual es moderadamente ecogénico.  

En músculos complejos, una vaina fascial hiperecogénica individual rodea a cada vientre muscular y de esta manera se pueden identificar las diferentes cabezas de un mismo musculo.

En el musculo hay un aumento de interfases reflectivas lo cual le da un aspecto más blanco en comparación con la grasa.  Como nota importante las interfases reflectivas de igual manera aumentan en enfermedades neuromusculares por el aumento de fibrosis, inflamación y grasa.  

La ecogenicidad muscular aumenta con la edad lo que se debe a la sustitución de fibras musculares por grasa y tejido fibroso que se da con el envejecimiento.

   4. Tejido subcutáneo

Está formado por lóbulos de grasa separadas por tabiques o bandas de tejido conjuntivo. En la ecografía se demuestra con un fondo hipoecogénico de grasa y ecos hiperecogénicos lineales procedentes de la red tabicular de tejido conectivo.

Imagen ecográfica 4.1 Tejido subcutáneo abdominal.

Deja una respuesta

Tu dirección de correo electrónico no será publicada. Los campos obligatorios están marcados con *